Crowns

Crowns
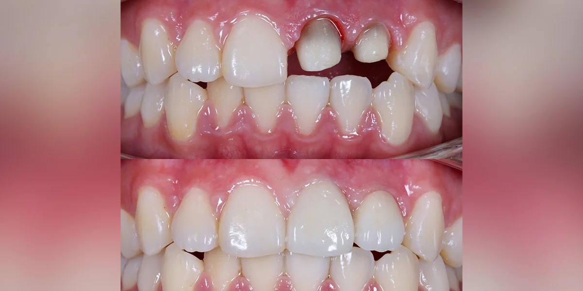
What Are Dental Crowns?
Reasons You Need Dental Crowns
Here are some of the scenarios that you may have to consider opting for dental crowns:
Improving the Appearance: The misshaped or discolored tooth or even gaps between the teeth hinder the happy smile, and to restore it, dental crows are an effective and affordable option, and it also boosts the confidence to smile without any inhibitions.
Preventive Measure: Dental crowns are a precautionary measure to prevent the tooth from being completely damaged. In case of any injuries and fractures, the tooth is weakened, and the crown can be placed on it to avoid further damage to the already weakened tooth.
Root Canal: The procedure of root canal emptying the canal due to the removal of the damaged tooth pulp. The hollow space risks the teeth’ structure since any minor injury can lead to severe fractures. Dental crowns protect the tooth structure and prevent any damage to the root canal area.
Wearing of the Teeth: When the patient comes up with the issue of bruxism (also known as grinding and clenching of teeth in sleep), the result is that the teeth reduce in size over time. The other reason the teeth wear out is a highly acidic diet. The tooth becomes extremely soft and prone to injuries when worn out, and dental crowns are the perfect way to protect them.
Replacement for Tooth Filling: When the teeth fillings are more than it leaves very less of the original tooth, then a crown is very important to protect the remaining tooth structure from any injuries. The same implies to the tooth cavity. When the cavity is large enough to cover half of the tooth, then the other half needs to be protected since it would have weakened due to the cavity.
Other Reasons: The other benefits of the dental crown are that it can be placed to cover dental implants, for cosmetic enhancement, and hold a dental bridge in its place.
Types Of Dental Crowns
Resin Dental Crowns
These crowns are made of resin material and are less expensive when compared to other types of dental crowns. Though they are effective, they are at risk of getting worn out over time.
Porcelain or Ceramic Material Crowns
The ceramic and porcelain material brings the nearest color to the natural tooth than any other crown material. It is a good choice for frontal teeth. Since they do not have any metal content, they are not the stronger version of crowns.
Metal
The metals used to make dental crowns are chromium, nickel, palladium, and even gold. They last longer since the material is stronger, and there are very rare chances of them breaking or chipping out. They are also strong enough to bear the chewing of hard food. The color of the metal can be a drawback, making it suitable only for the molar teeth.
Porcelain-Fused-to-Metal
This combination is long-lasting and appealing, too, since the crown’s color will be as natural tooth since the porcelain is used and as strong as the real tooth due to the metal content in the crown. The crowns are suitable for a frontal tooth, but any wear and tear can affect the porcelain part.
Procedure for Placing Dental Crown
The placement of a dental crown is easier and should take 2-3 visits to the dental office. The process involves examining the tooth and placing the crown. Let us elaborate on it for you to give more clarity about the dental crown.
Upon arriving at the dental office, the patient gives complete details of the teeth’ condition and elaborates on the medical history to the dental team. Upon completing the initial formalities, the dental team takes the required x-rays and scans with the imaging systems to thoroughly know the teeth and root structure. The root canal procedure is completed before any other steps if any infection is detected.
For the crown placement, the dentist will first numb the tooth by inducing anesthesia to the gums. The tooth will be trimmed or shaped by removing a layer of enamel to shape the tooth for crown placement. If the tooth has been damaged due to a cavity, fillings are placed on building the tooth to ensure proper placement of the crown.
After reshaping the tooth, the impression of it is taken to make a crown suitable for that shape. The shade of the crown can be chosen by the patient that will suit the tooth color. The scan impressions are sent to the lab to make the crown, and it takes approximately 2-3 weeks to make the crown. Until the crown is made, the tooth is covered with a temporary crown to protect it from damage. The temporary crown is made of acrylic and is cemented to the tooth.
In the second dental visit, the dentist will check the proper fit of the crown and make any changes if required. For placing the permanent crown, local anesthesia is induced to the surrounding gums, and the crown is cemented to the tooth.
The dentist will decide on further follow-up visits to ensure the proper fit of the crown.
Dr. Kim and his team will suggest you some of the post-placement care tips for the initial days, such as:
- Avoid sticky and hard foods that can pull off the crown.
- Do not chew hard foods on the side of the crown placement.
- Avoid using that side of the mouth for eating until the crown is well-fixed.
- Brushing and regular flossing is a must since the crown also can be attacked by cavities and gum diseases.
Onlays and ¾ Crowns
Same-Day Dental Crowns
In this procedure, the crowns can be made on the same day in the dental office. The required images of the tooth structure are taken with the canning devices that give 3D images of the tooth for more clarity. The images are sent to other departments, and the crowns are made with a block of ceramic that is driven into a machine that makes the crown ready in 15-20 minutes and cemented on the tooth immediately.
Dr. Kim has well-equipped and modern technology dental systems that ensure the best diagnostics for the patients. Some other services at Highline Dental Practices are Dental Implants, Dentures, Cosmetic Dentistry, and Root canal treatments.