DR. KIM
HIGHLINE DENTAL PRACTICE PLLC
(212) 989-6510
Highline clinic is a multi-specialty dental clinic that has years of expertise and experience in different dental services such as cosmetic dentistry, orthodontic services, endodontic services, oral surgeries and many other dental treatments that uses cutting-edge technology in dental cosmetic treatments.
Highline dental clinic has specialists who have an unparalleled skill set in cosmetic dentistry. The tools and pieces of equipment used here are of updated technology that makes the patient comfortable and also the treatments affordable.

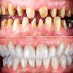
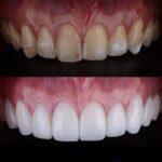
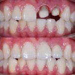
Before & After
Click on the images below to view our smile transformations.






Contact Us
Request An Appointment
Fill out our online contact form to request an appointment.



